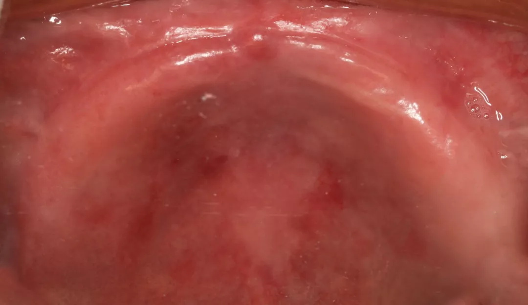
临床上总会有一些病例让医生左右为难,例如严重的牙槽嵴吸收病例,如下图所示:


图为牙槽嵴严重吸收案例
固位差,一咬东西就脱落,是这类型病例修复难点,就算是到大型的医院,如果没有掌握这项技术,也会束手无策,患者得不到更好的治疗,除了失去咀嚼能力,影响发音功能外,更严重的影响到患者身心健康。
图为牙槽嵴严重吸收动态图
靖佳齿科一直致力于不断的创新和引进新技术,2011年开始引进瑞士科技制作的BPS系统,它能在传统的活动修复解决颌弓关系不协调,颌位关系不稳定,牙槽脊严重吸收等无法取得良好效果的情况下,确保获得良好的固位及咀嚼能力,帮助无数患者实现拥有一口稳固且美观的好牙齿,让他们能够畅享美食及恢复说话能力。


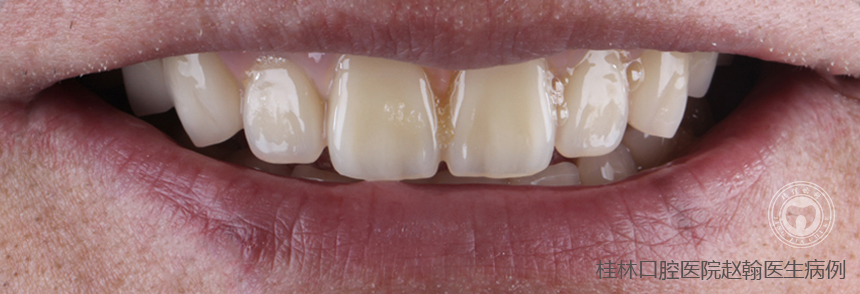
图为BPS修复案例
严重牙槽嵴吸收患者,经BPS修复后立刻恢复良好咀嚼能力。
为了能够让广大的临床牙科医生碰到类似牙槽脊严重吸收病例时不再束手无策,让更多的患者能够拥有一付稳固美观的牙齿畅享美食,如果您是牙科医生,也致力于和我们一起为解决患者的痛楚而努力,点击http://www.jjck.cn/bpsxinxishouji/108.html,我们将免费提供给您瑞士专家BPS系统产品现场操作视频,希望对您有所帮助!